GOOD SMILE DENTAL CLINIC
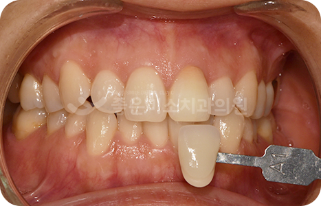
치아미백
치아에 손상을 주지 않고 치아를 밝게 하는 술식으로
			치아를 원래 색으로 회복시키거나 하얗게 치료하는 치료법입니다.
- 
				
			 - 
				
치아 변색의 외부요인
커피, 담배, 콜라 등 색소가 함유된 음식물 섭취, 흡연 등에 의해 치아 표면에 달라붙어 색이 변하거나 치석이 많이 생겨서 착색된 경우
 
- 
				
			 - 
				
치아 변색의 내부요인
임신중의 산모나 유아기 때 치아가 성장하는 동안 테트라사이클린 등의 항생제를 복용하여 변색된 경우나 선천적으로 누런 이 또는 내인성 치아 변색 등
 


					
					